予防歯科・クリーニング
治療の繰り返しを防ぐため、虫歯や歯周病にならないための「予防」に最も力を入れています。
歯のクリーニング(PMTC)は、専用機器を用いて歯に優しく、普段の歯磨きでは落とせない歯石やバイオフィルムや着色汚れを徹底的に除去します。
お一人おひとりに合わせた予防プログラムをご提案します。
歯科医院との新しい付き合い方はじめませんか?

「歯医者さんは歯が痛くなったり、詰め物が取れたりした時に行く場所」。多くの方が今もそのように考えていらっしゃるかもしれません。
しかしその考えが、かえってご自身の歯の寿命を縮めてしまう一因になっているとしたら、どうでしょうか。
歯は一度でも削ってしまうと決して元の状態には戻りません。治療を繰り返すたびに、健康な歯質は失われ、歯は少しずつ弱くなっていきます。
やがては歯を残すことができず、抜歯に至ってしまう。
この「治療の繰り返し」という負の連鎖は、問題が起きてから対処する「対症療法」を続けている限り、断ち切ることは非常に困難です。
一方で、歯科医療の先進国であるスウェーデンをはじめとする欧米諸国では、歯科医院の役割が大きく異なります。
歯を「治療」するためではなく、むし歯や歯周病にならないように「守る」ために定期的に歯科医院へ通うのです。
美容院で髪の手入れをしたり、フィットネスクラブで健康を維持したりするのと同じように、お口のメンテナンスを生活の一部として取り入れています。
その結果、80歳になっても20本以上の自分の歯を保っている方が大多数を占めるという素晴らしい成果を上げています。
お口の健康は、ただ美味しい食事ができるというだけでなく、自信のある笑顔や円滑なコミュニケーション、ひいては全身の健康にまで繋がる人生を豊かにするための大切な基盤です。
これからの歯科医院との付き合い方は、「治療中心」から「予防中心」へ。それはあなたの未来の健康とQOL(生活の質)に対する、賢い投資の一つです。
私たち板橋グレース歯科医院は、皆様の歯を病気から「守り育てる」パートナーとして、生涯にわたって寄り添います。
毎日の歯磨きとプロフェッショナルケア
あなたの歯磨き、本当に完璧ですか?
「毎日、食後にしっかり歯磨きをしているから大丈夫」。そのように考えている方も、たくさんいらっしゃることでしょう。
セルフケアへの意識の高さは大変素晴らしいことです。
しかし残念ながら、どれほど丁寧に歯を磨いているつもりでも、ご自身の歯ブラシだけでお口の中の汚れ、すなわちプラーク(歯垢)を100%完璧に除去するのは不可能に近いと言わざるを得ません。
なぜならお口の中には、どうしても歯ブラシが届きにくい「死角」が数多く存在するからです。

歯ブラシが届きにくい場所
- 歯と歯の間
- 歯と歯ぐきの境目の溝(歯周ポケット)
- 奥歯の後ろ側
- 歯並びが重なり合っている部分
- 被せ物や詰め物の境目
また人にはそれぞれ無意識の「磨き癖」があり、いつも同じ場所ばかりを磨いてしまい、特定の場所に汚れが残りやすい傾向があります。
歯科医院で磨き残しを赤く染め出す液体を使ってみると、ほとんどの方がご自身が思っている以上に磨けていない部分があることに驚かれます。
細菌の要塞「バイオフィルム」の存在

磨き残されたプラークは、時間と共に単なる細菌の集まりから、より強力な集合体へと姿を変えます。
それがお風呂場の排水溝のヌメリにも似た「バイオフィルム」と呼ばれる細菌の膜です。
バイオフィルムは、細菌たちが自分たちの身を守るために作り出したネバネバとした強力なバリアです。
このバリアに守られた内部の細菌には、うがい薬や抗菌薬などがほとんど届きません。
この強固なバイオフィルムは、ご自身の歯磨きだけで破壊することは極めて困難です。
これを効果的に除去するためには、歯科医院の専門的な器具を使って物理的に破壊する以外に方法はないのです。
歯石という名の「細菌の温床」
さらにプラークは唾液の中のミネラル成分と結びつき、やがて「歯石」という石のように硬い物質に変化します。
一度歯石になってしまうと、歯ブラシでは絶対に取ることができません。
歯石そのものが直接悪さをするわけではありませんが、その表面は軽石のようにザラザラしているため、新たなプラークが付着するための格好の足場となり、お口の中に細菌が繁殖し続けるための「温床」となってしまうのです。
この悪循環を断ち切るためにも、定期的なプロによる介入が不可欠です。
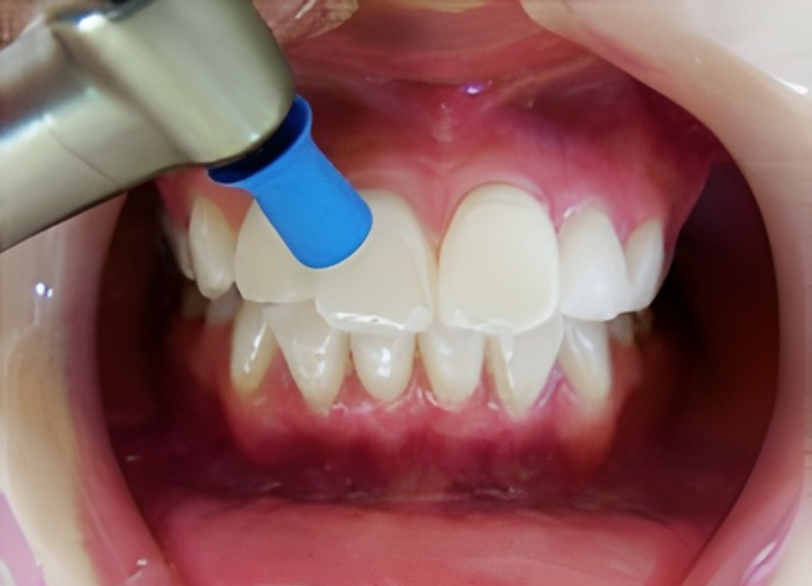
専門家が行うお口の大掃除「PMTC」

PMTCとは何か
PMTCとは、「Professional Mechanical Tooth Cleaning」の頭文字を取った言葉です。直訳すると、
| Professional | 専門家が |
| Mechanical | 専用の機械を使って |
| Tooth | 歯を |
| Cleaning | 徹底的に清掃する |
という意味になります。
つまりPMTCは歯科医師や歯科衛生士といった国家資格を持つ専門家が、ご家庭の歯ブラシでは決して届かない場所の汚れまで、専用の器具と技術を駆使して完全に除去するお口の隅々まで行き届いたクリーニングプログラムです。
治療とは異なり、痛みもなく、むしろ処置後には爽快感を味わっていただけるのが特徴です。
PMTCの具体的な手順と使用する機器
当院では患者様一人ひとりのお口の状態に合わせて、以下の手順で丁寧にPMTCを進めていきます。
1. 染め出し・プラークチェック

まずは磨き残されたプラークを赤く染め出す検査を行います。これにより、ご自身では気づかなかった歯磨きの「癖」や「弱点」が一目瞭然となります。
この結果を患者様ご自身の目で見ていただくことで、今後のセルフケアの質を向上させるための大切な気づきを得ていただきます。
2. スケーリング(歯石除去)

歯に硬くこびりついた歯石を、専門の器具で除去していきます。当院では「超音波スケーラー」を主に使用します。
超音波による微細な振動を利用して、歯を傷つけることなく効率的に歯石を剥がし、粉砕する装置です。
3. バイオフィルム・着色の除去

歯石を取り除いた後は、歯の表面に付着したバイオフィルムや着色汚れを除去します。
この処置において、当院では「エアフロー」という機器が大きな力を発揮します。
エアフローは、非常に細かなパウダー粒子を水と一緒にジェット噴射で歯の表面に吹き付ける装置です。
歯ブラシでは届かない歯と歯の間や、歯周ポケットの内部、矯正装置の周りといった複雑な部分のバイオフィルムまで隅々きれいにすることができます。
また、タバコのヤニやコーヒー、紅茶、赤ワインなどによる頑固な着色汚れも、歯の表面を傷つけることなく効果的に除去することが可能です。
4. 研磨(ポリッシング)

クリーニングの総仕上げとして、歯の表面を丁寧に磨き上げていきます。
専用の「ポリッシングブラシ」やラバー製のカップに、フッ素が配合された微粒子の「研磨ペースト」を付け、歯の表面をツルツルに磨きます。
これにより、プラークなどの汚れが再付着しにくい状態を作り出すとともに、歯本来の自然な光沢を取り戻します。
PMTCによって得られる効果
定期的にPMTCを受けることで、お口の中に様々な良い変化が生まれます。
PMTCの効果
- むし歯予防
むし歯菌の住みかであるバイオフィルムを徹底的に破壊・除去することで、むし歯になりにくい環境をつくります - 歯周病の予防・改善
歯周ポケット内の細菌を除去することで、歯ぐきの炎症を抑え、歯周病の進行を抑制します - 審美性の向上
タバコのヤニや食品による着色汚れが落ちるため、歯本来の白さと輝きがよみがえります - 口臭の改善・予防
お口の中の細菌や食べ物の腐敗などが原因で発生する口臭を根本から改善します - 歯質の強化
クリーニングの仕上げにフッ素を塗布することで、歯の表面のエナメル質が強化され、酸に溶けにくい強い歯になります

より確実な予防のために
PMTCと合わせて、以下のようなアプローチを行うことで、より予防効果を高めることができます。
歯を強くする「フッ化物(フッ素)塗布」
フッ素は、歯の健康を守る上で非常に有効な成分です。歯科医院で使用する高濃度のフッ素には、主に3つの働きがあります。

再石灰化の促進
食事によって酸性に傾いたお口の中で、歯の表面から溶け出したカルシウムやリンといったミネラル分を再び歯に取り込む「再石灰化」の働きを助けます。
これにより、ごく初期のむし歯であれば自然に修復されることがあります。
歯質の強化
歯の表面のエナメル質とフッ素が結びつくことで、より酸に強い安定した結晶構造に変化します。
これにより、歯そのものがむし歯菌の出す酸に溶かされにくくなります。
細菌の活動抑制
むし歯菌の働きを弱め、歯を溶かす原因となる酸が作られるのを防ぎます。
特に、生えたばかりのお子様の歯は、まだ歯質が未成熟で柔らかいため、フッ素塗布はむし歯予防に絶大な効果を発揮します。
お子様の奥歯を守る「シーラント」

生えたての永久歯、特に6歳頃に生えてくる「6歳臼歯」は、むし歯になりやすい歯として知られています。
なぜなら、奥歯の噛み合わせの面には非常に細かく複雑な溝があり、そこに食べカスやプラークが入り込むと、歯ブラシの毛先が届かず、きれいに取り除くことができないからです。
「シーラント」は、このむし歯になりやすい溝をフッ素を含んだプラスチック樹脂で、あらかじめ物理的に埋めてしまう予防法です。
歯を削ることは一切なく、痛みもありません。むし歯になる前に、細菌が住み着く場所をなくしてしまう非常に効果的なアプローチです。
ご自身のリスクを知る「カリエスリスク検査(唾液検査)」
「むし歯のなりやすさ」は、実は人それぞれで大きく異なります。
そのリスクを感覚ではなく、客観的な科学的データとして評価するのが「カリエスリスク検査」、通称「唾液検査」です。
少量の唾液を採取するだけの簡単な検査で、以下のようなことが分かります。
| 検査項目 | 内容 |
| むし歯菌の数 | お口の中に、代表的なむし歯菌がどのくらいいるのかを測定します |
| 唾液の分泌量 | 唾液には、お口の中を洗い流す自浄作用があります。分泌量が少ないと、リスクは高まります |
| 唾液の緩衝能 | 食後、酸性に傾いたお口の中を中性に戻す唾液の力です。この力が弱いと、歯が溶けやすい時間が長くなります |
これらの検査結果と日々の食生活などをお伺いすることで、あなたのむし歯の「本当の原因」が見えてきます。
ご自身の弱点を正確に知ることが、効果的な予防への第一歩となるのです。
予防という未来への賢い選択
当院には、開院以来10年近くにわたり、半年に一度のメンテナンスを一日も欠かすことなく通い続けてくださっている70代の女性の患者様がいらっしゃいます。
初診の時から、特に大きな問題があったわけではありません。ただ、「これ以上、自分の歯を悪くしたくない」という想いから、予防のための通院を始められました。
その結果、この10年間、一度も歯を削るような大きな治療をすることなく、今でもご自身の28本の歯すべてで、硬いお煎餅からお肉まで何でも美味しく召し上がっています。
その患者様にとって、半年に一度のメンテナンスは、もはや「通わなければならない義務」ではありません。
プロの手で隅々までお口がきれいになる爽快感と、健康が維持できているという安心感を得るための「自分へのご褒美」であり、「楽しみな習慣」となっているのです。
痛い思いをして、貴重な時間とお金をかけて治療を繰り返す人生。あるいは、快適なメンテナンスで生涯にわたる健康という、何物にも代えがたい財産を手に入れる人生。
どちらがより豊かであるかは、言うまでもありません。私たちと一緒に、未来のための賢い選択を始めませんか。